Carillas Dentales

La solución definitiva y más estética de tus dientes

Carillas dentales de porcelana en Clínica Dental Aldaz - Gipuzkoa
Carillas dentales Gipuzkoa - Clínica Dental Aldaz

Carillas Dentales

En Aldaz, entendemos que tu sonrisa es una de tus mayores cartas de presentación.

Las Carillas son la solución definitiva para tinciones de tetraciclinas y separaciones entre piezas (diastemas).

Corrija las anomalías del color de los dientes que no pueden tratarse mediante tratamientos de blanqueamiento y modifique alteraciones en el tamaño o formas dentarias, confiriendo al diente un aspecto más ideal y obteniendo una gran sensación estética que le permita sonreír con naturalidad y seguridad.

Este tipo de tratamientos está indicado para dientes anteriores con caries, dientes anteriores con empastes, defectos dentales (malposiciones), fracturas, tetraciclinas, diastemas, anatomía anómala, desgaste, dientes teñidos y pérdida de esmalte.
El tratamiento con Carillas respeta los tejidos dentales, puesto que la erosión en las piezas es mínima.

Las características de este tipo de materiales estéticos consiguen una fiel reproducción en el color de los dientes gracias a su gran mimetismo con los tejidos dentales y su gran capacidad de translucidez, obteniendo excelentes resultados estéticos.

En clínica Dental Aldaz ofrecemos dos tipos de carillas dentales según la necesidad del paciente y las indicaciones clínicas. Se diferencian por el material utilizado en su elaboración:

Por un lado, encontramos carillas de composite, compuestas por una fina capa de resina sintética que permite adherirse a la pieza. Por otro lado, las carillas de Porcelana, compuestas por una fina lámina de cerámica que se pega con una resina a la parte exterior del diente.

Tecnología avanzada para ofrecerte el mejor servicio en carillas dentales:

Carillas de porcelana

Estas carillas son conocidas por su durabilidad y capacidad para imitar el aspecto de los dientes naturales. Son resistentes a las manchas y proporcionan un aspecto uniforme.

Carillas de resina compuesta

Este tipo de carilla se puede hacer en una sola visita y ofrece una opción más económica con resultados significativos en la mejora de la apariencia de tu sonrisa.

Diagnóstico y planificación

Antes de proceder con la colocación de carillas, realizamos un diagnóstico exhaustivo y trabajamos contigo para desarrollar un plan de tratamiento personalizado.

Mantenimiento de carillas

Ofrecemos directrices y seguimiento para asegurarnos de que tus carillas se mantienen en óptimas condiciones a lo largo del tiempo.

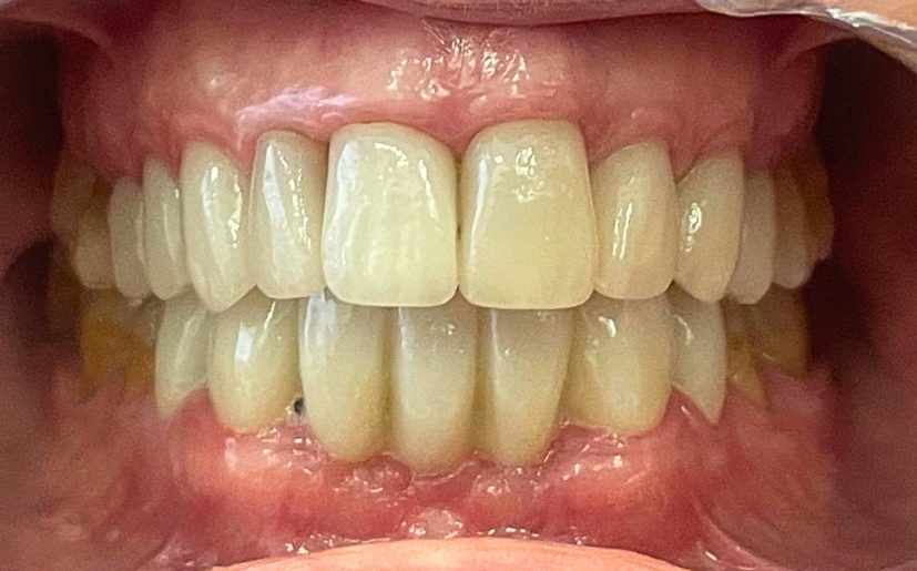
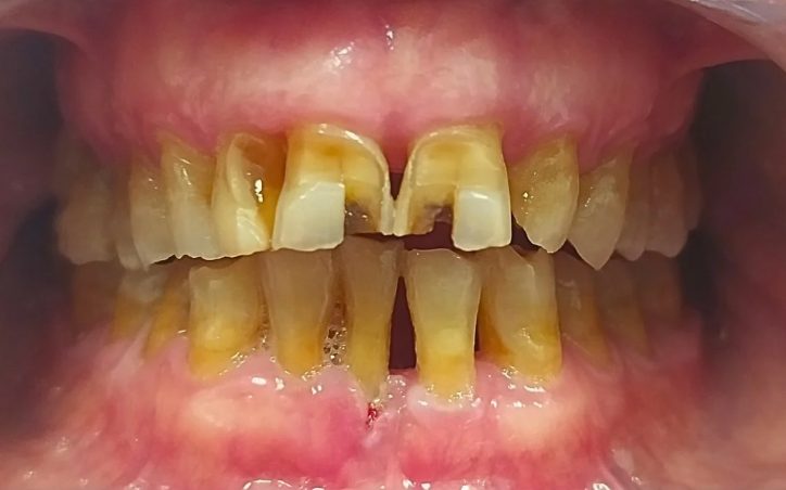
CASO CON CARILLAS DENTALES

Nos esforzamos por ofrecerte un tratamiento estético adaptado a tus necesidades.

No dejes que pequeñas imperfecciones dentales afecten tu seguridad o bienestar. Si estás considerando colocarte carillas dentales para mejorar la estética de tu sonrisa, en Clínica Dental Aldaz te ofrecemos un enfoque personalizado y profesional.

Contamos con clínicas en Lasarte-Oria, Tolosa y Elgoibar, donde analizaremos tu caso con detalle y resolveremos todas tus dudas.
Confía en nuestra experiencia en estética dental en Gipuzkoa y da el paso hacia una sonrisa natural, armónica y duradera.

Contacta con nosotros

    Selecciona tu clínica:Lasarte-OriaTolosaElgoibar